
How Invisalign Effectively Fixes Crowded and Gapped Teeth
How Invisalign Effectively Fixes Crowded and Gapped Teeth For residents of Courtice, battling misaligned teeth, whether through crowding or gaps, can impact both oral health

How Invisalign Effectively Fixes Crowded and Gapped Teeth For residents of Courtice, battling misaligned teeth, whether through crowding or gaps, can impact both oral health

Root Canal Infections: Why Prompt Treatment Is Essential Root canal infections can often pose a major threat to both your oral health and overall well-being

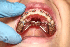
Ultimate Guide to Palate Expanders and Braces: What You Need to Know If you’re exploring orthodontic treatment options for yourself or your child, you may

The Easy Way to Prevent Cavities in Kids! Keeping your child’s smile healthy is as important as ensuring they eat well, get enough sleep, and

How to Apply for the Canadian Dental Care Plan (CDCP): A Step-by-Step Guide Here at Courtice Family Dentistry we believe good oral health is essential

Major Canadian Dental Care Plan Reforms in 2025: Everything You Need to Know Canada’s healthcare system is undergoing a major shift in 2025 with significant

Can Yellow Teeth Become White Again? Yellow teeth can be made white again using various procedures, from simple lifestyle changes to professional dental treatments. Understanding

What to Look for When Choosing an Orthodontist A bright, confident smile can leave a lasting impression, but over time, teeth may become stained or

A Dentist’s Guide to Halloween Candy: Keeping Smiles Bright Halloween is a season full of excitement—costumes, laughter, pumpkins, and of course, the sweet reward of

How to Choose the Best Toothbrush for Your Oral Health: Dentist-Approved Guide Choosing the right toothbrush may seem simple, but with so many options available,

Why Pregnant Women Should Prioritize Dental Care Pregnancy brings countless changes to a woman’s body—and your mouth is no exception. Hormonal shifts can increase the

Reasons to Consider an Early Referral to an Orthodontist Many parents believe orthodontic treatment should begin once all permanent teeth have come in. However, it

Why You Need Dental Checkups During Aligner Treatment Clear aligners have transformed how people achieve straighter teeth. They’re comfortable, removable, and virtually invisible.However, while aligners

How to Handle Dental Emergencies: What You Need to Know Dental emergencies can be sudden, painful, and stressful experiences that require immediate attention. Whether it’s